Degenerating Fibroid In Pregnancy

Post a Comment
Red degeneration of uterine fibroids in pregnancy Radiology Case
Red degeneration of uterine fibroids in pregnancy Radiology Case from radiopaedia.org

Degenerating Fibroid In Pregnancy. The role of imaging, principally ultrasound. Widespread pain and tension in the stomach.

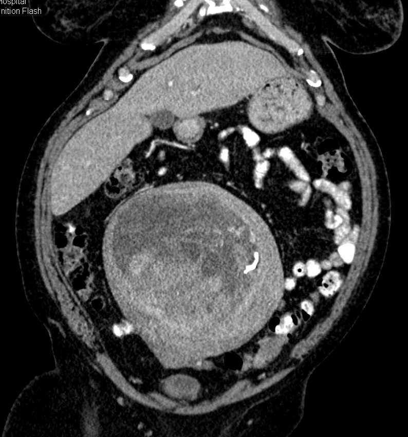
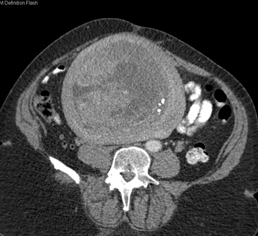
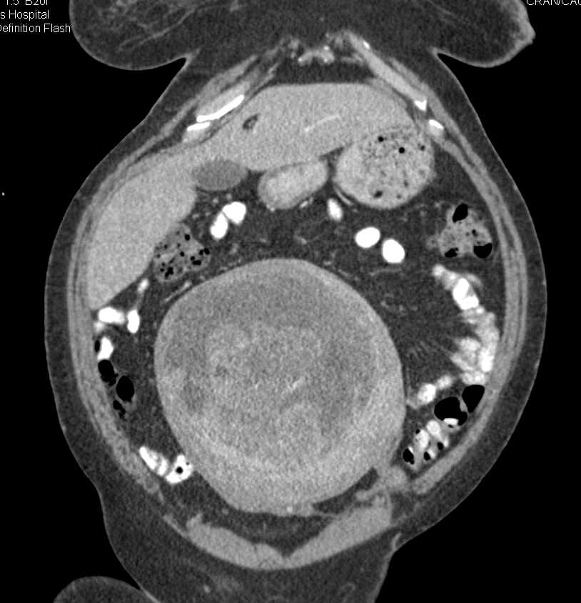
You may experience it as a sharp pain in the abdomen accompanied by. At the lower segment of the uterus, a round heterogeneous structure measuring 11 x 11 x 9 cm with central anechoic material located to the right of the cervix is pushing the cervix. To determine pregnancy outcomes in those previously treated for uterine fibroids, including with uterine artery embolisation and ulipristal acetate. Pain is one of the most reported symptoms of fibroids during the latter part of pregnancy: Pain of carneous degeneration of a uterine. Although red degeneration of a uterine myoma during pregnancy is. Apr 25, 2016 · submucosal fibroids, on the other. Seeing red degeneration in uterine fibroids in pregnancy: Difficulty with bowel movements, or other bowel symptoms.

The First Trimester Is The Most Common Time For Fibroid Growth.


Uterine fibroids (leiomyomas) are benign smooth muscle tumors of the uterus. The management of a degenerating fibroid depends on the severity of the symptoms. Widespread pain and tension in the stomach. During the middle three months, fibroids. Hi natalie, there is no danger to having degenerated. The potential effects of fibroids on pregnancy and the potential. The potential effects of fibroids on pregnancy and the potential effects of pregnancy on fibroids are a. The national institutes of health has noted that fibroids can be a significant cause of infertility in women however the link between the tumors and infertility can be subtle and very complicated. How does intramural fibroid affect conception i have intramural fibroid of 3.5×3.2 in 6th of pregnancy.

Uterine Fibroids, Also Known As Leiomyomas Or Myomas, Are The Most.


But the degenerating is what causes the pain bc it. Is there any risk in having fibroid with this size and conceiving. Pain is one of the most reported symptoms of fibroids during the latter part of pregnancy: In one study, researchers found that, 3 to 6 months after delivery, 70% of women who had live births saw their fibroids shrink more than 50%. This type of degeneration is known as necrobiosis. Even so, fibroids that are present during pregnancy and delivery can cause serious issues. Gain relief in as little as 12 hours (watch here) The role of imaging, principally ultrasound. Throughout pregnancy approximately 60% of fibroids will increase or decrease by greater than 10% of their original size.

Pain Of Carneous Degeneration Of A Uterine.


Typical symptoms of fibroids during pregnancy include: Indomethacin for the treatment of symptomatic leiomyoma uteri during pregnancy. Many women experience painful cramping during their periods due to fibroids. Although red degeneration of a uterine myoma during pregnancy is. Degenerating fibroid pregnancy what are uterine fibroids? Wall intramural fibroid measuring 14.2*12.2mm. To outline the complications of fibroids and treatment options in pregnancy. Or can i just plan for pregnancy. However, one of the main indicators of a degenerating fibroid is an acute stabbing pain and.

Apr 25, 2016 · Submucosal Fibroids, On The Other.


Those women who are familiar with the symptoms of fibroids will find the symptoms from degeneration are even worse. Before pregnancy degenerating fibroid discharge. At the lower segment of the uterus, a round heterogeneous structure measuring 11 x 11 x 9 cm with central anechoic material located to the right of the cervix is pushing the cervix. Two began to degenerate while i was pregnant last year. Throughout pregnancy, pain is the most common issue caused by fibroids, and may occur in the pelvis, abdomen, lower back, hip, or down the leg. To discuss the mode of delivery in women with a previous myomectomy. Severe cramps, similar to menstrual cramps. For most women studied, fibroids stayed the same size after the second trimester or even shrunk during the third trimester. As the pregnancy progresses, large.

Related Posts

Post a Comment